Filed under Medical Imagining

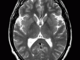
Grey Matter ~ Interpreting MRIs

Grey Matter ~ Interpreting MRIs

Those of us in the medical profession have A GAZZILION pneumonics and silly little ways to remember all the bones, muscles, pathologies, etc, etc …  somehow they are always a little, well, PG-13 (at best). SOOOOO, now that the title of this post has grabbed your attention, we will not be discussing bondage or the recent book/film “sensation” –> … Continue reading

Fifty Shades of Grey [matter] ~ interpreting MRIs

Fifty Shades of Grey [matter] ~ interpreting MRIs

If you know any graduate students (especially in the medical profession) we have A GAZZILION pneumonics to remember all the bones, muscles, pathologies, etc, etc …  some how they are always a little, well, PG-13. SOOOOO, now that the title of this post has grabbed your attention, we will not be discussing bondage –> instead how about a little … Continue reading

Wet, wobbly, and wacky ~ Looking for Normal Pressure Hydrocephalus in our older patients

Wet, wobbly, and wacky ~ Looking for Normal Pressure Hydrocephalus in our older patients

Gait troubles, incontinence, and dementia / wobbly, wet, & wacky Bob Fowler, the subject of this 60 minutes special, presented with this triad of symptoms and was ultimately diagnosed Alzheimer’s disease. He had been to doctor after doctor, and suffered with debilitating symptoms for nearly a decade including trouble walking, incontinence, and severe memory deficits … Continue reading

Girl, I like your flow [chart]

Girl, I like your flow [chart]

Working with a patient with neck problems? Get your Canadian Cervical Spine Rules on to determine if you need to send them for an x-ray. With such a high sensitivity, you can be confident that if they clear the c-spine rules that they don’t require an x-ray. This allows physicians in the emergency department to … Continue reading

Moving On Up…

Moving On Up…

…The Brain That Is When visualizing the brain using a CT (computed tomography) there are some cute images that help you understand where in the brain you are looking: Totally looks just like it right ? (From my wonderful professor Dr. Linberg’s lectures, hover over pics for caption):