Acute Hemorrhage
… is actually a very serious situation.
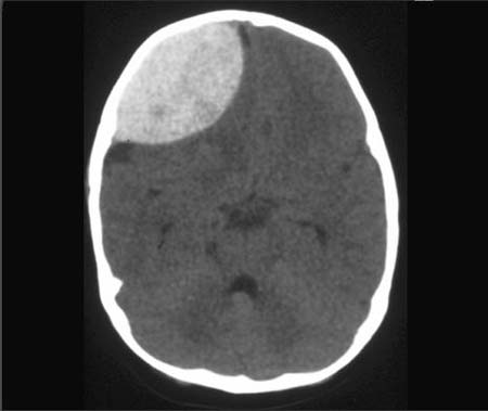
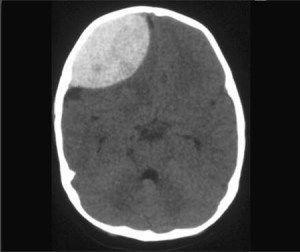
I have been learning all about CT (computed tomography) Scans in school lately. Basically, they are just x-ray slices used to give clinicians a 3D image of the body part in question. For cases of serious trauma, they are the 1st imaging technique utilized because they visualize bleeds very well.
In an x-ray (and CT scan) areas that are WHITE are radiodense compared to the rest of the surrounding tissue:
So you can clearly see, there is a whole lot of blood in that frontal lobe. ouch.


Want to see some NYC cups!!!